Before & Afters

Making your neighborhood smile!
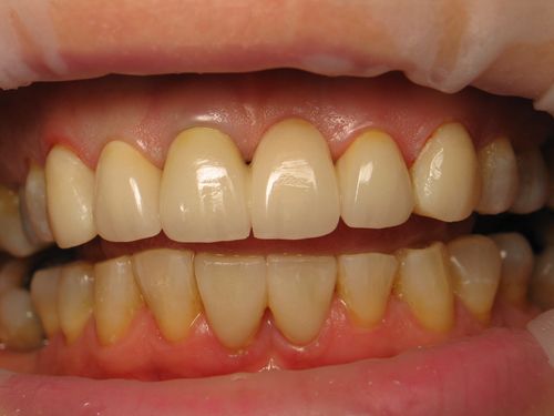
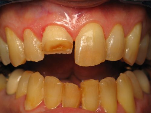
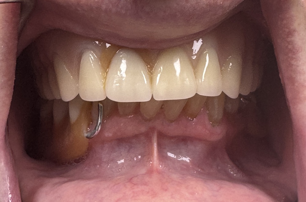
Before & After


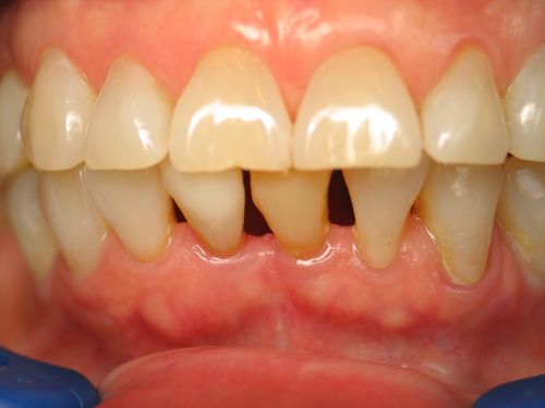
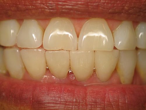
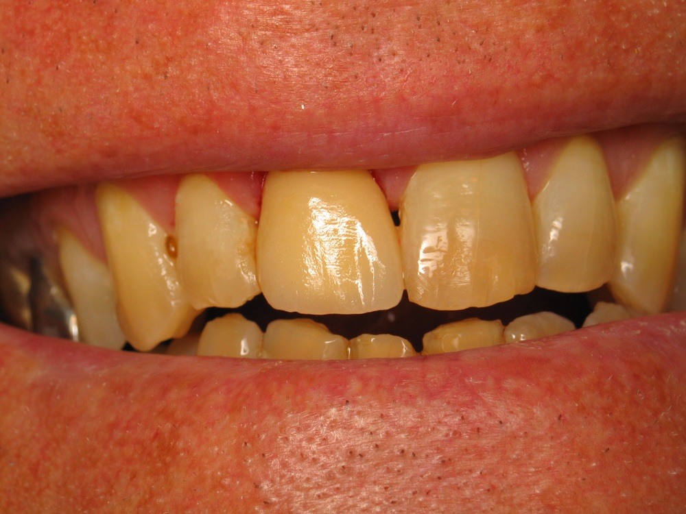
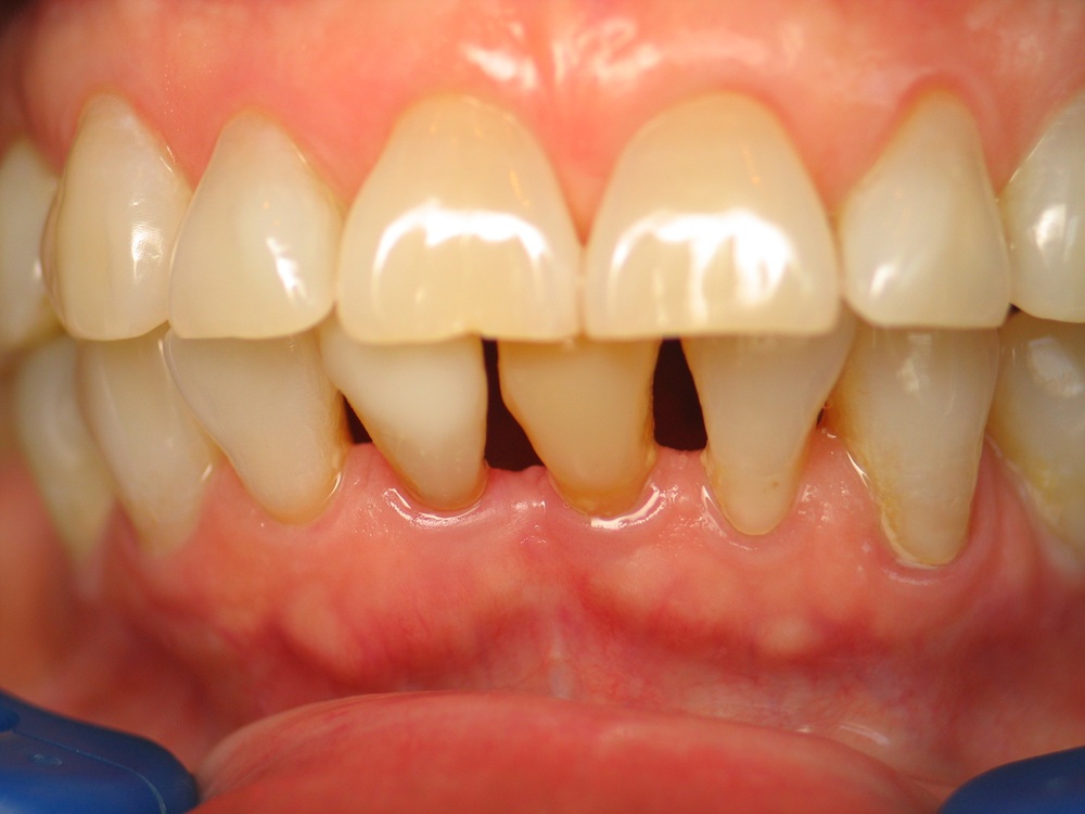
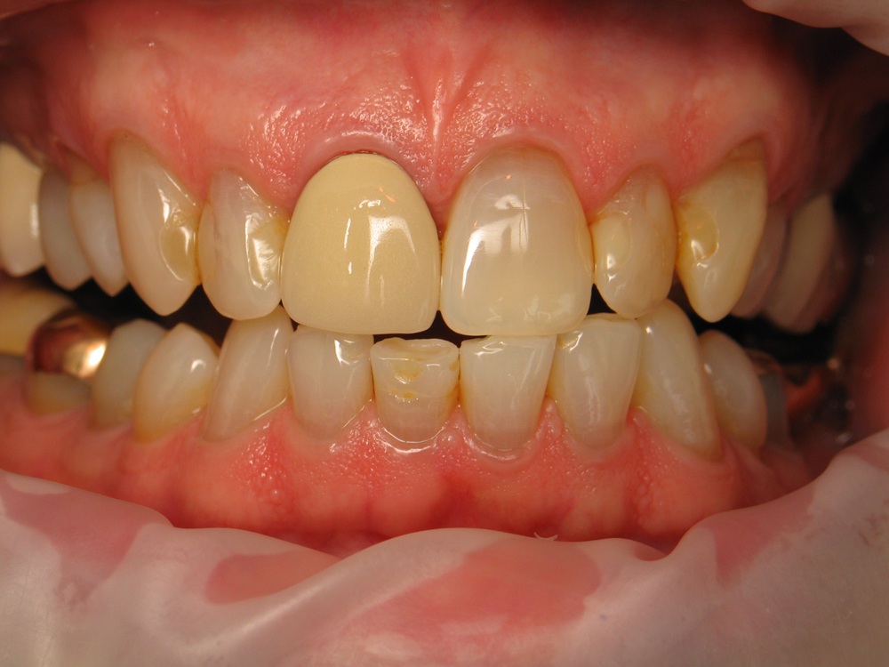
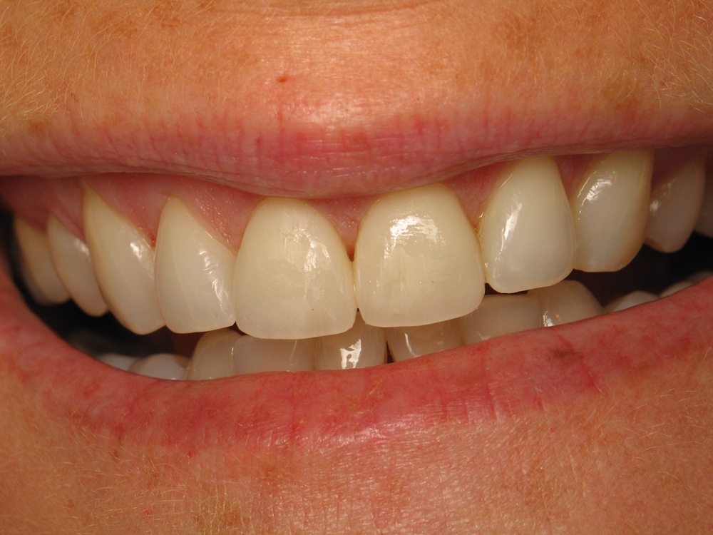
Dental Crowns
Restored upper two front teeth to improve smile and esthetics.
before

after

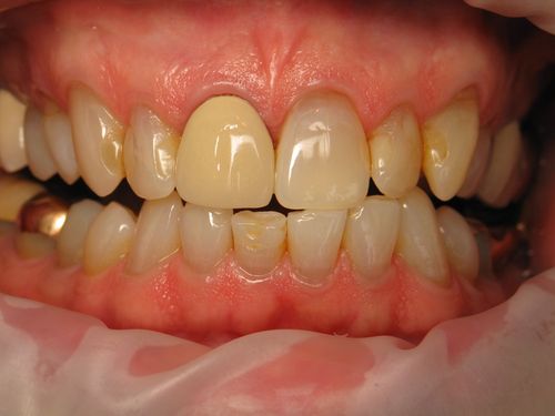
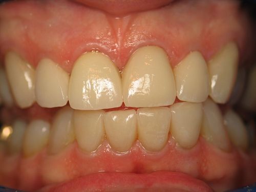
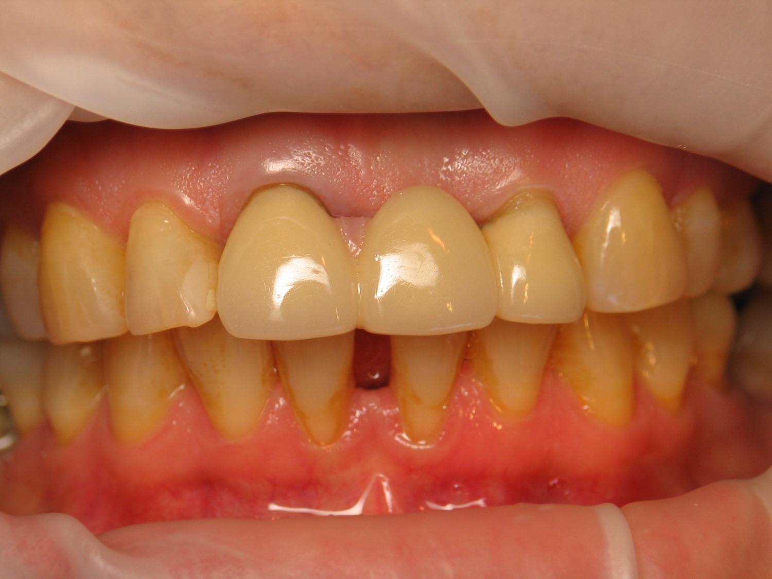
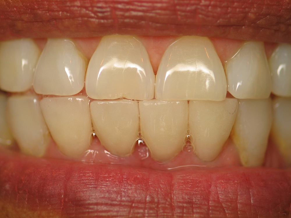
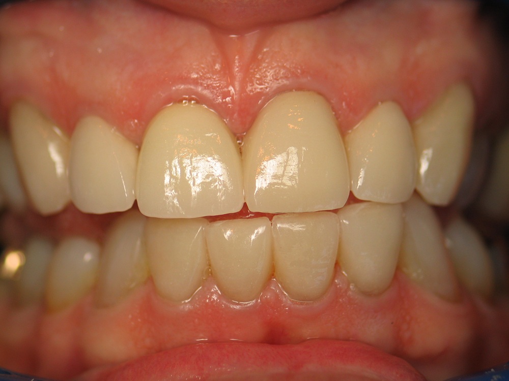
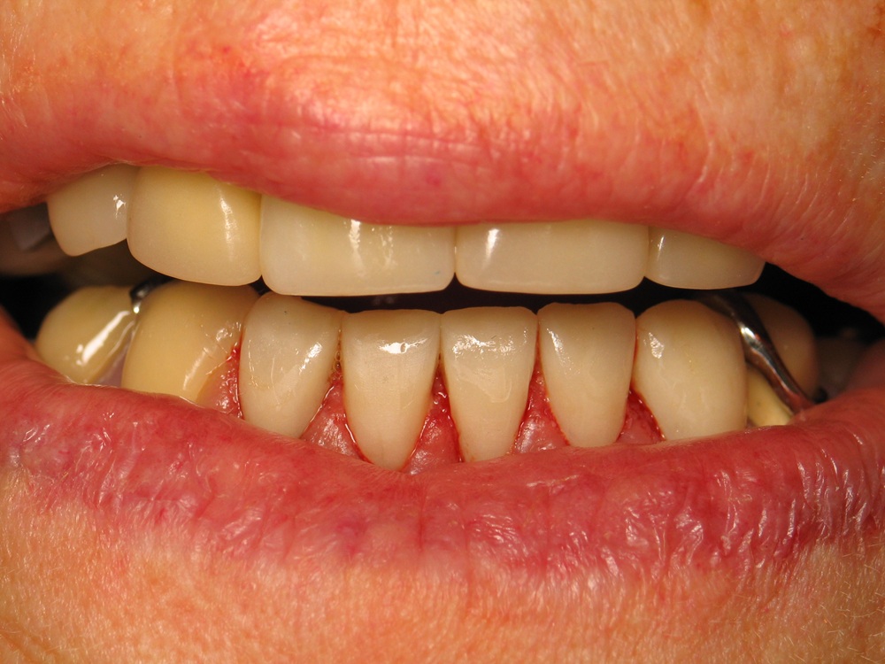
Dental Crowns
before

after

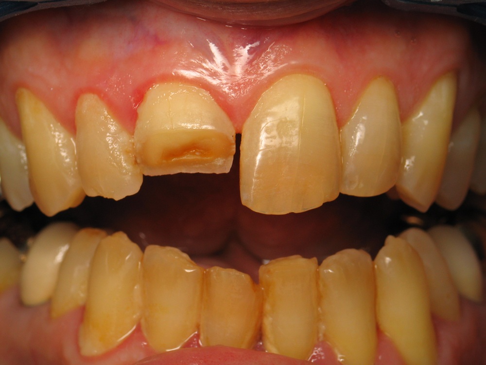
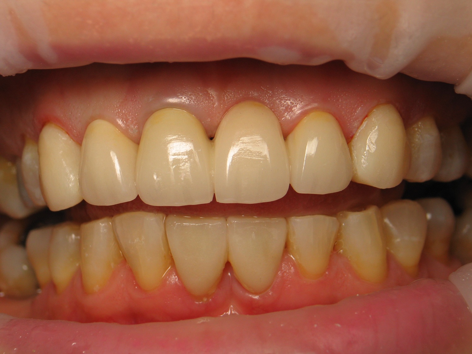
Veneers and Crown
before

after

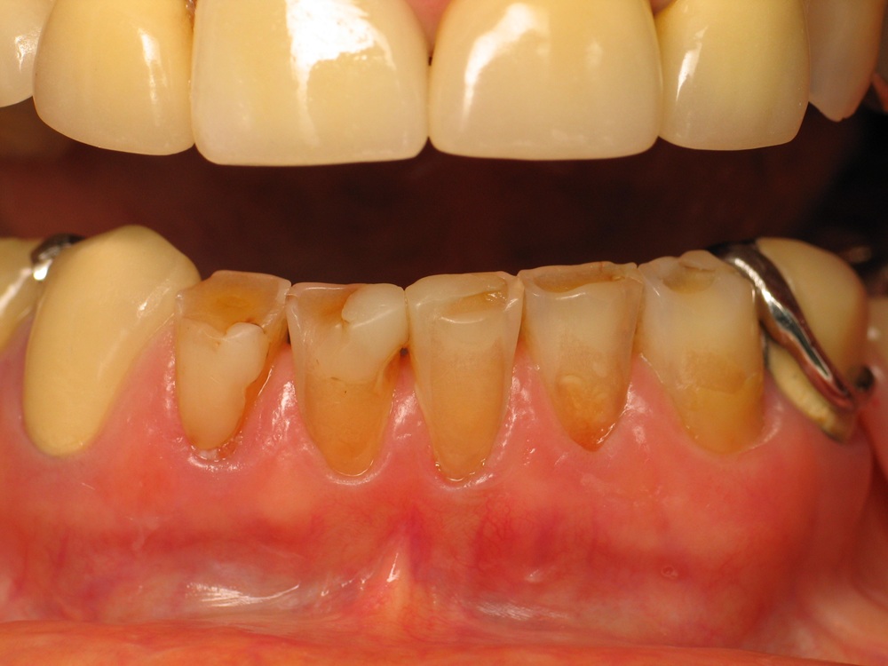
Veneers
before

after

Crown and Veneers
before

after

Veneers, Bridge, Crown
before

after

Veneers
before

after

Veneers
before

after

Crown
before

after

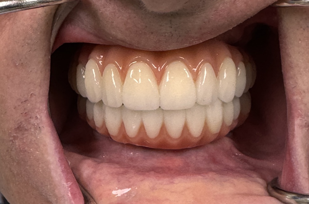
All-on-4 Implants
before

after

Invisalign
before

after

All-on-4 Implants
before

after

Veneers
